all-on-4 akcija! PATRAUKLI KAINA šį mėnesį 4500 € TIK 3697 €
Siūlome bene geriausią viso gydymo kainą Lietuvoje! Netikite? Pateikite pigesnį viso gydymo planą iš bet kurios kitos odontologijos klinikos Lietuvoje ir papildomai suteiksime 100 eurų nuolaidą!
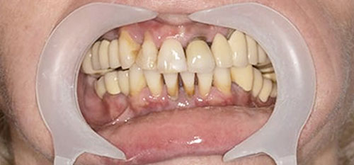
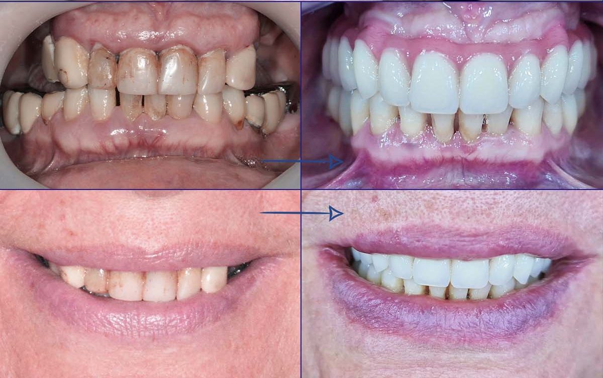
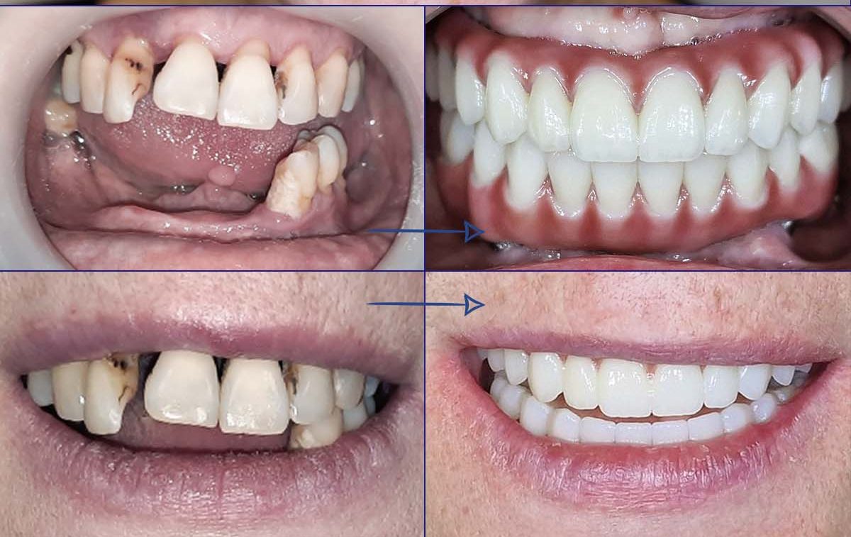
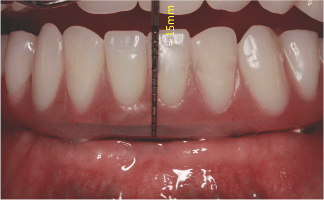
„All-on-4“ yra pažangi dantų implantavimo technika, leidžianti atkurti visą viršutinio arba apatinio žandikaulio dantų lanką vos su 4 implantais. Ant šių implantų fiksuojamas nuolatinis dantų protezas, kuris užtikrina ne tik estetišką šypseną, bet ir pilnavertę kramtymo funkciją. Šis metodas yra greitas, komfortiškas ir daugelio specialistų pripažįstamas kaip vienas efektyviausių sprendimų bedančiams žandikauliams netekus daugelio ar visų dantų.
- Dantų implantai „ALL-ON-4“ (kaina nuo 2440 €) – geriausias pasiūlymas atstatant visus žandikaulio dantis.
- „PAPADENT“ gydytojai atliko šimtus sėkmingų operacijų. Gyd. Tomas Stumbrys – „All-on-4“ metodikos specialistas nuo 2014 m.
- Viskas įskaičiuota: konsultacija, gydymo planas, šalinimas, implantai, laikinas protezas, kaulo augmentacija (jei reikia), premedikacija.
- Dantų protezai ant 4 implantų vos per 24 – 48 val. Ir turite naujus visus dantis!
- Geriausia kaina nuolatiniam protezui: rasite pigiau – pritaikysime 5% nuolaidą!
- Lizingas 12 mėn. be pabrangimo!
- Išsaugosite žandikaulį, taisyklingą sąkandį ir drąsiai šypsositės. Valgysite be apribojimų.

