gydytojo periodontologo konsultacija vilniuje



Periodontologija – tai odontologijos sritis ir mokslas, nagrinėjantis aplink dantį (iš graikų k.: peri – aplink, šalia; odontos – dantis) esančių audinių (dantenų, raiščių, kaulo) sveikatą, ligas ir jų gydymą. Periodontas yra sudarytas iš žandikaulio kaulo, dantenų ir raiščių, kurie jungia dantų šaknis su dantenomis ir žandikaulio kaulu.
Būtent šie raiščiai padeda mums suvokti kandimo jėgą bei leidžia paprasčiau kontroliuoti žandikaulio judesius kramtant ar kalbant. Periodonto ligų pradžioje simptomai dažniausiai būna gana nežymus, tačiau susirgimams pažengus simptomai tikrai gąsdina – pacientai skundžiasi dantenų kraujavimu ir skausmu, dantenos tampa labai jautrios, ir t.t. Jei periodonto ligos nėra laiku pastebimos, jų gydymas tampa gerokai sudėtingesnis.
Registruokitės nemokamai periodontologo konsultacijai Vilniuje telefonu + 370 699 99911 arba info@dantugydytojas.lt ir artimiausiu metu susitiksime implantologijos klinikoje adresu: V. Gerulaičio g. 1-26, Vilnius.

Periodontologija apima šiuos pagrindinius susirgimus:
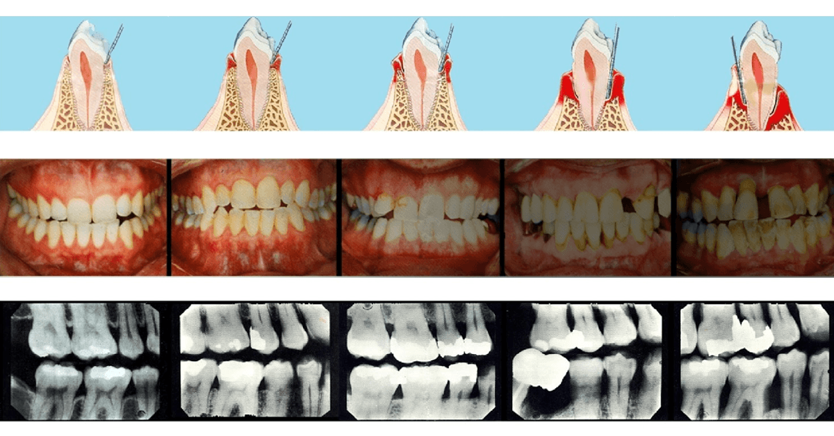
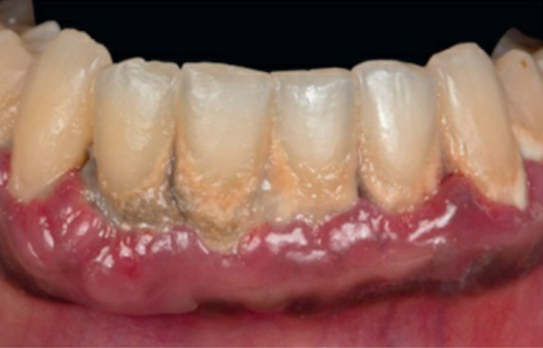
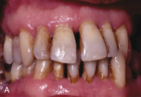
Jau 1960 metais buvo nustatyta, kad periodontas labiausiai kenčia dėl susikaupusių apnašų. Žmogaus burnoje galima aptikti maždaug šeši šimtus rūšių bakterijų: dalis jų neturi neigiamo poveikio sveikatai, tačiau kai kurios bakterijos gali sukelti įvairius negalavimus. Jei nesirūpinama tinkama dantų ir dantenų higiena, ima kauptis apnašos, iš kurių vėliau susiformuoja dantų akmenys. Nors patys dantų akmenys nesukelia periodonto ligų, tačiau jų šiurkšti ir porėta tekstūra sudaro palankesnes sąlygas kauptis bakteriniam apnašui. Ilgainiui tarp dantų ir dantenų atsiranda tarpeliai, kurie vadinami dantenų kišenėmis. Atsiradus šiai patologijai bakterijos ima dar sparčiau daugintis, todėl išsivysto uždegimas, apimantis gilesnius audinius ir žandikaulio kaulą. Ligos eigai įtakos turi imuninė sistema – jei periodontitas nėra laiku gydomas, šis susirgimas didina širdies susirgimų riziką, gali neigiamai paveikti diabeto eigą ar lemti priešlaikinį gimdymą.


Periodonto ligos dažniausiai yra diagnozujamos įprasto apsilankymo odontologijos klinikoje metu, tačiau kartais pacientai pernelyg ilgai uždelsia, todėl periodontologas diagnozuoja jau gerokai pažengusias periodonto ligas. Būtent todėl rekomenduojama kartą per pusę metų apsilankyti odontologijos klinikoje, kurioje bus atlikta burnos higiena, – tai padės išvengti ligos progreso.

Periodontologas visada vertina paciento burnos būklę ir sudaro individualų gydymo planą. Jei nėra diagnozuojami negrįžtami pakitimai, kartais tereikia atlikti profesionalią burnos higieną ir nuvalyti viršdanteninius ir podanteninius akmenis. Jei procesas pažengęs atleikamas giluminis valymas (dantenų kiuretažas) su uždegimo pažeistų dantenų konservatyviu pašalinimu. Ypatingai sunkiais atvejais atliekama atliekama lopo operacija, kai pašalinamas didelis kiekis pažeistų dantenų, žandikaulio defektai gali būti užpildomi kaulo užpildais. Šiuolaikinė periodontologija užtikrina, kad pacientui atliekamos procedūros nesukels pernelyg didelio diskomforto – visuomet yra taikomas nuskausminimas.
Priėš protezavimą ar implantaciją periodontas turi būti sveikas, dantenos neturi kraujuoti , o pacientas turi būti apmokytas taisyklingos higienos. Sveikas periodontas užtikrina kur kas didesnę dantų implantavimo („Visi dantys ant 4 implantų“) ar protezavimo sėkmę, todėl procedūras atliekantys gydytojai visada bendradarbiauja su periodontologu. Jei periodonto ligos nėra gydomos, tokiu atveju rizikuojama, kad iškris nuosavi dantys arba įsriegti implantai, o tai visada žada nemenkus nuostolius. Kad taip nenutiktų, prieš šias procedūras yra būtinas tinkamas periodontinis pasiruošimas – prireikus gali būti atliekama kaulo korekcija, danties vainiko prailginimas, alveolinio kaulo korekcija, ir t.t.
Periodontologas Vilniuje pasirūpins, kad procedūros būtų atliekamos greitai ir kokybiškai, todėl protezavimo ar implantavimo procedūros garantuos patį geriausią rezultatą.


Dauguma odontologų sutinka, kad protiniai dantys atlieka labai nereikšmingą funkcinį vaidmenį, todėl dažniau yra skiriamas protinių dantų rovimas nei šių dantų gydymas. Vis dėlto, gydymas taip pat yra įmanomas, tačiau svarbu įvertinti, kad priėjimas prie šių dantų yra gerokai sudėtingesnis. Jei protinių dantų pažeidimai yra smarkiai pažengę, gydymas ne visada yra veiksmingas, todėl pacientams rekomenduojama rinktis dantų šalinimą.
Protiniai dantys yra šalinami tuomet, jei jie yra smarkiai pažeisti karieso, jei gydymas yra pernelyg sudėtingas ar net neįmanomas, jei pacientas skundžiasi pasikartojančiais uždegimais, jei norima užkirsti kelią cistų formavimuisi, ir t.t. Nors dantų šalinimo procedūrai ne visada yra paprasta pasiryžti, tačiau įvertinkite tai, kad protinių dantų skausmas gali tapti tiesiog nepakeliamu, o komplikacijos gali būti pernelyg rizikingos.