Profesionali burnos higiena

Profesionali burnos ertmės higiena, tai higieninės procedūros, kurių metu šalinamos mineralizuotos ir nemineralizuotos apnašos, poliruojami dantų ir plombų paviršiai.

Netaisyklingai valant dantis, ant jų pastoviai lieka minkšto apnašo, nuo kurio prasideda apsauginė dantenų reakcija – uždegimas, kurio pagrindiniai požymiai yra dantenų patinimas, paraudimas ir kraujavimas. Negydomas dantenų uždegimas gali vystytis į periodontitą, kuriam esant vyksta kaulo ir dantį palaikančių raiščių irimas. Minkštasis apnašas lengvai nuvalomas naudojant asmenines burnos ertmės higienos priemones – dantų šepetėlį, pastą, tarpdančių siūlą ir skalavimo skysčius. Nenuvalius minkštojo apnašo, po 1 – 3 dienų prasideda jo mineralizacija ir per 10 – 20 dienų minkštasis apnašas virsta akmenimis. Profesionalios burnos higienos kainas rasite čia.

Profesionalią burnos higieną rekomenduojama atlikti kas 6 mėnesius.

Nemokama nuotolinė konsultacija

 

Profesionali dantų higiena Vilniuje

Reguliariai lankantis profesionalios burnos higienos procedūrose Jums bus atlikta:

  • Kruopšti dantų ir dantenų apžiūra;
  • Karieso ir kitų dantenų susirgimų ( pavyzdžiui periodontitas ) atidus įvertinimas;
  • Profesionali burnos higiena, atliekama Air – Flow Sistema ir ultragarsiniu skaleriu;
  • Fluoro aplikacijos;
  • Rekomendacijos dantų priežiūrai ir valymui.

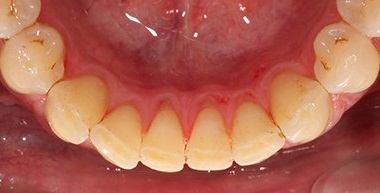
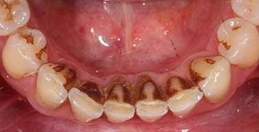
Paskutiniai prof. burnos higienos ir balinimo darbai

Kaip taisyklingai valyti ir prižiūrėti dantis?

Gilusis dantenų kiuretažas

Jei profesionalios burnos higienos metu nepavyksta pašalinti visų apnašų, tuomet rekomenduojame gilųjį dantenų kiuretažą, kuris yra tarpinė procedūra tarp akmenų nuvalymo ir chirurginio dantenų gydymo.

Gilusis dantenų kiuretažas atliekamas, kai dantenų „kišenėse“ kaupiasi apnašos, akmenys. Procedūros metu yra nuskausminama, o „kišenės“ mechaniškai išvalomos, nulyginamas šaknies paviršius, tai ypač padeda išventi periodonto ligų, dantenų būklė žymiai pagerėja. Odontologijos klinikoje kiuretažą atlieka profesionali burnos higienistė Jolanta Ruzgienė.

 

Susipažinkite su mūsų kitomis paslaugomis:

 

 

Norite sužinoti daugiau apie profesionalią burnos higieną?

Nedvejodami skambinkite mums +370-699-99911