Mariaus istorija apie gyvenimą, pasikeitusį per dieną

Viso žandikaulio protezavimas pritaikant All-on-4® metodiką

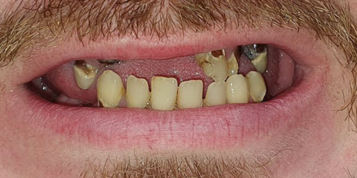
Marius – tolimųjų reisų vairuotojas, visą gyvenimą praleidęs kelyje. Tačiau po tvirta išore slėpėsi didžiulis skausmas ir gėda. Dėl ilgus metus ignoruotų problemų ir baimės odontologams, jo viršutinio žandikaulio dantų būklė tapo kritinė – dauguma jų buvo pažeisti nepataisomai arba prarasti.

„Valgyti galėjau tik minkštą maistą, o apie kepsnį ar traškų obuolį buvau seniai pamiršęs. Jaučiausi nepilnaverčiu “, – pasakoja Marius. Lūžio tašku tapo diena, kai jis suprato, kad prarado ne tik dantis, bet ir gyvenimo džiaugsmą. Nusprendęs, kad delsti nebegalima, jis kreipėsi į „PAPADENT“ kliniką, ieškodamas greito ir radikalaus sprendimo.

 
 

Įvertinus itin sudėtingą situaciją, Mariui buvo pasiūlytas moderniausias sprendimas – viršutinio žandikaulio dantų atkūrimas ant keturių implantų, taikant „All-on-4“ metodiką. Ši technologija leidžia grąžinti tvirtą, nenuimamą ir estetišką šypseną vos per vieną dieną.

Rezultatas buvo neįtikėtinas. Tą pačią dieną Marius iš klinikos išėjo su šypsena, apie kurią nedrįso net svajoti. „Kai pirmą kartą pažvelgiau į veidrodį, nesulaikiau ašarų. Tai daugiau nei dantys – tai grįžęs gyvenimas“, – džiaugsmo neslėpė Marius.

Mariaus istorija – tai įrodymas, kad net ir beviltiškai atrodančios situacijos yra išsprendžiamos. Jei ir Jūs svajojate apie greitus ir efektyvius šypsenos pokyčius, „PAPADENT“ klinika siūlo platų paslaugų spektrą!

Skambinkite dabar tel. +37069999911

Rašyti komentarus