Agnės istorija apie atgautą bendravimo džiaugsmą

Visų dantų estetinis plombavimas

Į „PAPADENT“ kliniką kreipėsi Agnė – nedidelės, jaukios kavinukės savininkė, kurios dienos kupinos bendravimo su klientais ir nuolatinio šurmulio. Nors ji dievino savo darbą ir nuoširdžiai džiaugėsi kiekvienu lankytoju, pastaraisiais metais vienas dalykas temdė jos nuotaiką – jos pačios šypsena. „Kiekvieną kartą, juokdamasi su klientais, instinktyviai prisidengdavau burną ranka.“, – atvirauja Agnė.

 

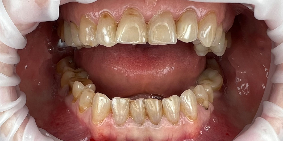
Ieškodama sprendimo, Agnė užsiregistravo konsultacijai. Jos metu specialistai atidžiai įvertino Agnės dantų būklę ir patvirtino tai, kas kėlė nerimą pačiai pacientei: dantys buvo stipriai pakeitę spalvą, pastebimai nudilę, nelygiais krašteliais ir praradę anatominę formą.

Norėdama greito ir įspūringo rezultato, Agnė išgirdo geriausią pasiūlymą – visų priekinių dantų estetinis plombavimas. Ši procedūra leidžia per vieną ar kelis ilgus vizitus visiškai pakeisti šypsenos išvaizdą, nenaudojant protezavimo ar laminačių. Jos metu gydytojas odontologas, sluoksnis po sluoksnio, tiesiogiai ant danties paviršiaus restauruoja jo formą, ilgį ir spalvą.

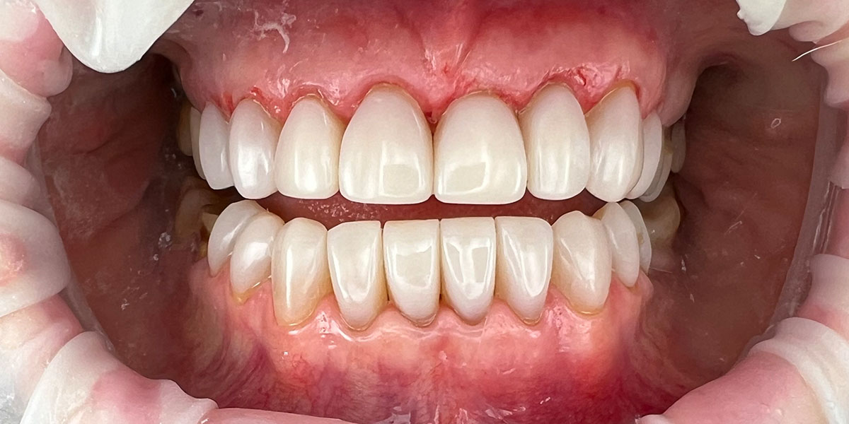
Po kelių kruopštaus darbo valandų Agnė pažvelgė į veidrodį ir negalėjo sulaikyti džiaugsmo ašarų. Jos šypsena buvo neatpažįstamai pasikeitusi: dantys atgavo idealų ilgį ir formą, o parinkta natūraliai balta spalva suteikė veidui jaunatviškumo ir gaivumo. „Negaliu patikėti, kad čia mano šypsena! Jaučiuosi atjaunėjusi mažiausiai dešimtmečiu,“ – emocijomis dalijosi Agnė.

Agnės atvejis – tai puikus įrodymas, kaip modernus estetinis dantų plombavimas „PAPADENT“ klinikoje gali išspręsti net ir sudėtingas estetines problemas. Jei ir Jūs svajojate apie pokyčius ir norite atgauti pasitikėjimą savo šypsena, susisiekite su „PAPADENT“ klinikos profesionalais.

Skambinkite dabar tel. +37069999911

Rašyti komentarus