Kai norą bendrauti užgožia prarasti dantys

Viso žandikaulio implantacija

Susigrąžinkite šypseną vos per 48 valandas
Elena - Viso žandikaulio implantacijos atvejis

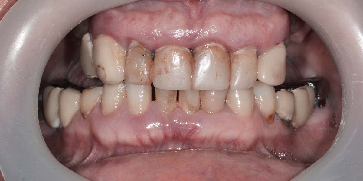
Ponia – charizmatiška ir aktyviai bendruomenės veikloje dalyvaujanti moteris, kuriai gyvenimo džiaugsmą teikia galimybė bendrauti su kitais žmonėmis. Vis tik ilgainiui bendravimo malonumą temdyti pradėjo dantų trūkumas ponios Elenos burnoje.

Moteris ryžosi pokyčiams ir į „PAPADENT“ kliniką atvyko planinei implantacijai. Tuo metu jos burnoje tebuvo likę vos keli dantys, kurie operacijos metu pašalinti ir įsriegti 5 implantai, uždėtas laikinas „All-on-4“ protezas.

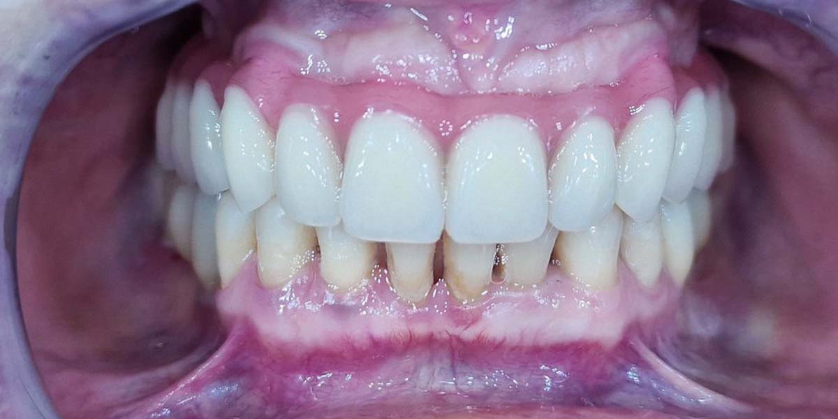
Praėjus gijimo laikotarpiui, pacientė pasirinko nuolatinį viso žandikaulio ant 5 impantų metalo-akrilo dantų protezą. Ponia liko patenkinta rezultatu, nes ir vėl gali plačiai šypsotis. Sugrįžus gyvenimo džiaugsmui, grįžo noras bendrauti. Tad dabar ponią galima sutikti tik puikios nuotaikos.

Nelaukite kol jūsų norus užgoš sugedę ar prarasti dantys, registruokitės pirminei apžiūrai „PAPADENT“. Čia gausite visus atsakymus, patarimus ir aukštos kokybės paslaugas.

 

Apibendrinimas

Pacientė atvyko į „PAPADENT“ odontologijos kliniką Vilniuje dėl planinės dantų implantacijos. Burnoje likę tik keli dantys, kurie dėl jų būklės buvo pašalinti per procedūrą. Atlikus šią operaciją, buvo įsriegti penki implantai, o laikinai uždėtas „All-on-4“ protezas. Po gijimo laikotarpio, pacientė nusprendė pasirinkti nuolatinį viso žandikaulio protezą (dantų protezavimo kainos Vilniuje), pagamintą iš metalo ir akrilo, ant penkių implantų.

Procedūros buvo parinktos atsižvelgiant į pacientės burnos būklę ir dantų praradimo mastą. Implantacija ir individualiai pritaikytas protezas užtikrino ne tik estetinį rezultatą, bet ir funkcionalumą, suteikdami pacientės gyvenimui naują džiaugsmą bei galimybę vėl laisvai bendrauti. Po visų procedūrų pacientė liko patenkinta gauta paslauga ir sugrįžo į kasdienį gyvenimą, pilną šypsenų.

Nedelskite ir užsiregistruokite pirminei apžiūrai „PAPADENT“, kur gausite išsamią konsultaciją ir kokybiškas paslaugas.

NEMOKAMA KONSULTACIJA

Rašyti komentarus