Kai pritrūksta laiko sau

Viskas apie dantų implantaciją

Sužinokite viską apie dantų implantaciją nuo A iki Z!
Gintarė - Viso žandikaulio implantacijos atvejis

Ponia nuo mažens mažai rūpinosi savimi. Būdama vyriausia sese savo trims broliams, nuolat turėdavo juos prižiūrėti. Įprotis pasirūpinti kitais liko visam laikui. Sukūrusi šeimą, dėmesį sutelkė į vaikų auklėjimą, paskui į jų išlaikymą. Skubėjimas per du darbus, prasta mityba davė savus rezultatus. Vienas jų – didžioji dalis nebepataisomų dantų.

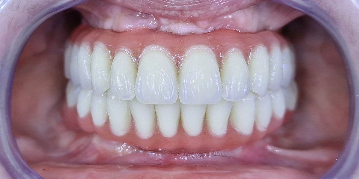
Pirmo vizito metu nuspręsta šalinti vienuolika likusių viršutinio žandikaulio dantų, o apatinio – aštuonis. Pasirinkta „All-on-4“ metodika – viršutiniame ir apatiniame žandikaulyje įsriegta po keturis implantus.

Po dvejų metų moteris nusprendė keisti laikinąjį dantų tiltą į nuolatinį, pagamintą iš metalo ir akrilo. Taip pat moteris pasidžiaugė, kad šis pokytis padėjo peržiūrėti savo gyvenimo būdą ir paskatino labiau rūpintis savimi. O grąžintas šypsenos grožis suteikia daugiau noro bendrauti ir džiaugtis.

Apleidote savo burnos higieną ir estetiką? Nebesinori laisvai šypsotis? Situaciją įmanoma pataisyti. Susisiekite su mumis jau dabar ir pasiruoškite maloniems pokyčiams.

 

Apibendrinimas

Pacientė, kurios burnos sveikata buvo smarkiai pablogėjusi dėl ilgalaikio rūpinimosi kitais ir savo poreikių atidėjimo, susidūrė su dantų praradimu. Po kruopštaus įvertinimo nuspręsta naudoti modernią „All-on-4“ metodiką – procedūrą, kuri leidžia atkurti visą dantų lanką naudojant tik keturis implantus viename žandikaulyje. Šis metodas yra idealus sprendimas pacientams, kurie neteko daugumos ar visų dantų, nes jis užtikrina tvirtą pagrindą ir natūraliai atrodančią šypseną.

Pirmojo etapo metu buvo pašalinti likę viršutinio ir apatinio žandikaulio dantys, o implantai įsriegti strategiškai tinkamose vietose, kad užtikrintų stabilumą. Po laikinojo dantų tilto nešiojimo, pacientė po dvejų metų nusprendė atnaujinti šypseną į nuolatinį tiltą, pagamintą iš metalo ir akrilo, dėl jo patvarumo ir estetiškos išvaizdos.

Šis sprendimas ne tik atkūrė dantų funkciją, bet ir suteikė pacientės gyvenimui naują kokybę. „All-on-4“ metodika rekomenduojama tiems, kurie ieško ilgalaikio ir efektyvaus sprendimo tiek estetikai, tiek kramtymo funkcijai atkurti.

Rašyti komentarus