Lauros istorija: šypsena, kuri įkvepia pasitikėjimo

viršutinių dantų estetinis plombavimas

Laura – sėkminga marketingo projektų vadovė, kurios aštrus protas ir kūrybiškumas padėjo įgyvendinti ne vieną įspūdingą kampaniją. Tačiau už profesinės sėkmės slėpėsi ilgus metus kankinęs kompleksas – šypsena. Jos dantys buvo netolygios spalvos, su ryškiomis, tamsiomis dėmėmis, kurių neveikė jokie balinimo metodai.

 

„Visada jaučiau, kad mano šypsena manęs nereprezentuoja. Vesdavau svarbius susitikimus, pristatydavau idėjas, bet viduje nuolat galvojau, kaip atrodau, kai kalbu ar nusišypsau. Tai buvo didžiulis barjeras, ypač video skambučių eroje, kai veidas yra dėmesio centre“, – prisimena Laura.

Artėjant svarbiai tarptautinei konferencijai, kurioje Laurai buvo patikėtas pagrindinis pranešimas, ji nusprendė – gana slėptis. Ji norėjo jaustis 100% savimi ir spinduliuoti pasitikėjimą, kurį jautė viduje. Ieškodama sprendimo, galinčio išspręsti gilaus vidinio dantų patamsėjimo problemą, ji atrado „PAPADENT“ kliniką ir estetinio plombavimo galimybes.

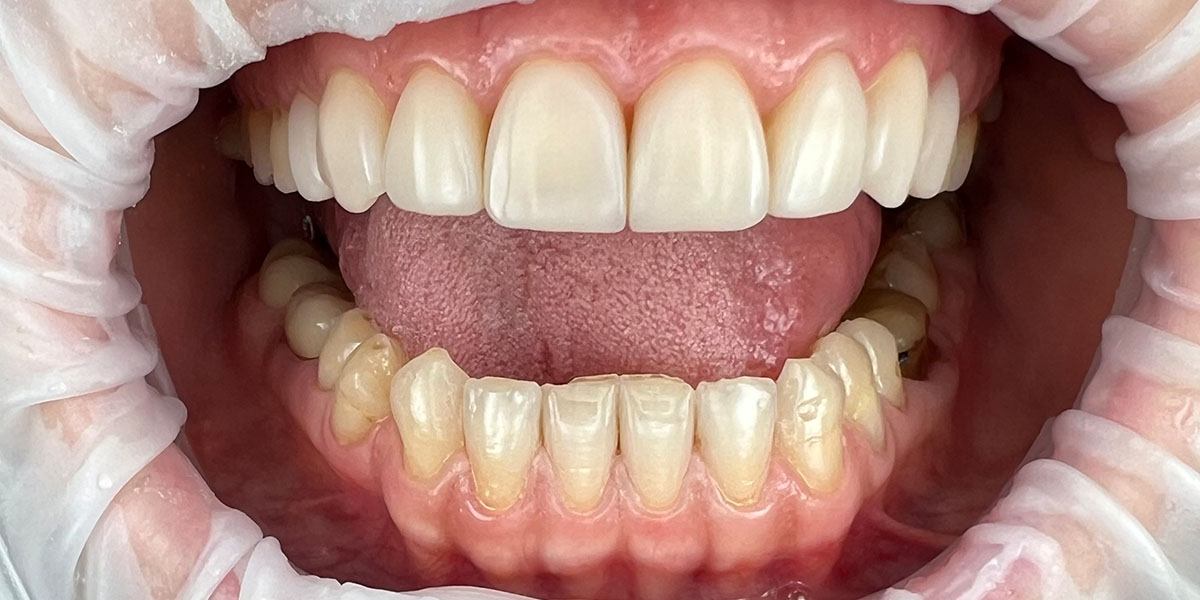
Konsultacijos metu gydytoja patvirtino, kad Lauros atveju balinimas būtų neefektyvus. Geriausias ir dantis tausojantis sprendimas – priekinių dantų estetinis plombavimas. Ši procedūra leidžia ne šviesinti esamą danties audinį, o sukurti naują, nepriekaištingos spalvos ir formos paviršių, visiškai paslepiant po juo esančius defektus.

Rezultatas po kelių valandų, praleistų odontologo kėdėje, Laurai tiesiog atėmė žadą. Gydytoja preciziškai, sluoksnis po sluoksnio, padengė dantis aukščiausios kokybės kompozitu, suformuodama idealią dantų formą ir parinkdama natūraliai baltą, gyvybingą atspalvį. Tamsios dėmės dingo lyg nebuvusios.

„Pirmą kartą gyvenime pažvelgiau į veidrodį ir pamačiau tokią šypseną, apie kokią visada svajojau. Tai buvo neįtikėtinas išsilaisvinimo jausmas, – su džiaugsmu pasakoja Laura. – Dabar konferencijoje jaučiuosi ne tik kaip profesionalė, bet ir kaip pasitikinti savimi moteris. Ši šypsena atvėrė man duris ne tik į naujas karjeros galimybes, bet ir į naują savęs suvokimą.“

Lauros pavyzdys įrodo, kad net ir sudėtingiausios estetinės problemos, kurių negali išspręsti balinimas, yra įveikiamos. Estetinis dantų plombavimas leidžia sukurti tobulą šypseną ir grąžinti tai, kas svarbiausia – pasitikėjimą savimi.

Neleiskite, kad šypsena stabdytų Jūsų svajones. Susisiekite su „PAPADENT“ komanda ir sužinokite, kaip galime Jums padėti.

Skambinkite dabar tel. +37069999911

Rašyti komentarus