Robertos istorija: kai šypsena tampa sėkmės dalimi

visų dantų estetinis plombavimas

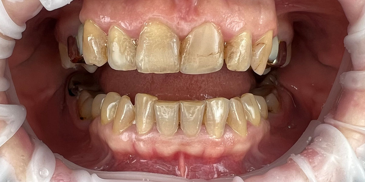
Roberta, energinga vadovė, visada jautėsi jauna ir kupina idėjų, tačiau jos šypsena pasakojo visai kitą istoriją. Ilgi darbo metai, įtemptas ritmas ir bruksizmas (griežimas dantimis) paliko ryškų pėdsaką – dantys buvo stipriai nudilę, pageltę, su senomis, spalvą pakeitusiomis plombomis. Jie atrodė pavargę ir gerokai trumpesni, nei turėtų būti.

„Vengdavau plačiai šypsotis susitikimuose, o nuotraukose visada stengdavausi likti rimta. Jaučiau, kad mano išvaizda neatitinka vidinės energijos ir profesionalumo, kurį noriu transliuoti“, – prisimena Roberta.

 

Lūžio tašku tapo naujos pareigos, reikalaujančios ne tik didesnės atsakomybės, bet ir dažno viešo kalbėjimo bei prezentacijų. Roberta suprato, kad norint jaustis užtikrintai prieš auditoriją, pokyčių reikia čia ir dabar. Po ilgų paieškų ji pasirinko „PAPADENT“ kliniką, sužavėta darbų pavyzdžiais ir profesionaliu požiūriu.

Konsultacijos metu gydytojai įvertino sudėtingą situaciją: diagnozuotas patologinis dantų nudilimas, prarastas sąkandžio aukštis, senos ir nehermetiškos restauracijos bei stipriai pakitusi dantų spalva. Sprendimas, galintis greitai ir efektyviai išspręsti visas šias problemas – visų dantų estetinis plombavimas. Tai metodas, leidžiantis tausojant danties audinius visiškai atkurti prarastą dantų formą, ilgį, spalvą ir funkciją.

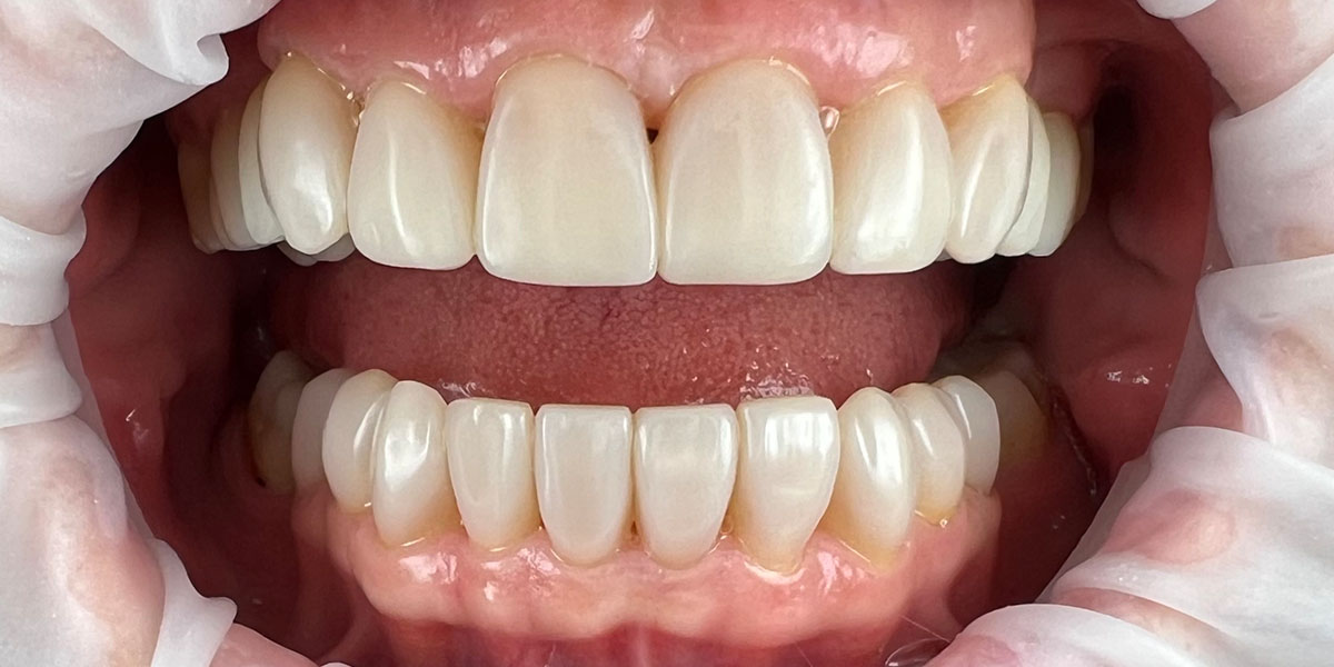
Rezultatas po kelių vizitų pranoko visus Robertos lūkesčius. Gydytoja sluoksnis po sluoksnio atkūrė kiekvieną dantį, grąžindama jam idealų aukštį, anatominę formą ir natūraliai baltą atspalvį. Šypsena tapo ne tik estetiška, bet ir harmoninga, o veidas akimirksniu atjaunėjo.

„Tai neįtikėtina. Pažvelgusi į veidrodį pamačiau save, tik daug jaunesnę ir laimingesnę, – džiaugsmo neslėpė Roberta. – Dabar jaučiuosi tvirtai ir užtikrintai ne tik vadovaudama komandai, bet ir tiesiog bendraudama. Tai buvo viena geriausių investicijų į save.“

Robertos istorija puikiai parodo, kad estetinis dantų restauravimas yra kur kas daugiau nei grožio procedūra. Tai būdas susigrąžinti pasitikėjimą savimi ir gyvenimo džiaugsmą.

Jei ir Jūsų netenkina dantų būklė, nedvejokite. Susisiekite su „PAPADENT“ klinikos specialistais ir ženkite pirmą žingsnį savo svajonių šypsenos link.

Skambinkite dabar tel. +37069999911

Rašyti komentarus